Sampson and his OrthoPets Stifle Device (Dog knee brace)

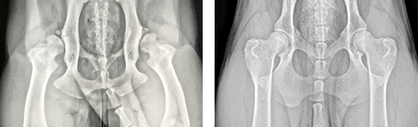
Sampson is a 3-year-old Rottweiler who presented to an OrthoPets Partner Clinic for right hind limb lameness. He was diagnosed with a right cranial cruciate ligament tear and severe hip dysplasia. When surgery isn't an option due to age, health, financial, or other reasons, OrthoPets can offer an alternative solution via a custom-made orthosis.

Patients with hip issues can be more of a challenge to create the fiberglass impression, as they can be more uncomfortable then other patients when standing for an extended period of time. There are a few options to aid patients to remain standing during the casting. To help make the impression process easier on the pet, we advise using towels or slings to aid in helping stand the patient up or positioning a yoga ball underneath their abdomen allowing the patient to lay over the ball. This position supports the patient while allowing access to the flank and groin areas.
It was determined that a standard stifle orthosis would be the best option for Sampson due to his weight and therapeutic goals. OrthoPets utilizes a variety of mechanical hinges and chooses the appropriate set of hinges for the patient's needs. The completed device was shipped to the OrthoPets Partner Clinic to fit the device properly and discuss the recommended wearing schedule with Sampson's owners.
Sampson has been wearing the device for a few weeks and has been able to go on walks again. In the beginning stages of device use, speak with your veterinarian about exercise restrictions. As your treatment plan progress, your veterinarian will guide you in how to restore activities safely.

Sampson's owner reports: "Sampson has been doing great! He loves the brace and it enables him to do all the things he loves to do! I'm so pleased that he can go for walks again and dispel his nervous energy!"




